近日,UG环球国际附属第二医院外一科收治了一名77岁的亚急性硬膜下血肿患者,医生运用硬膜下血肿钻孔引流术为患者开展微创治疗,一个小切口即达到去除颅内大量硬膜下血肿的目的,患者现已康复出院。该患者反复出现头颈痛、头晕,并伴有肢体乏力等症状,在当地医院诊疗后考虑颈椎病,建议患者回家休养。但一段时间后,患者症状持续加重,出现胡言乱语、不进食、不能下地行走、头痛加重等症状。
附二医院副院长赵正据了解情况后将患者收治到外一科,管床医生张胜伟详细查体及询问病史后,完善头部CT、MRI等检查,推翻了之前“颈椎病”的诊断,更改诊断为“亚急性硬膜下血肿伴脑疝形成”。赵正据教授考虑到患者年龄大,基础疾病多,病情紧急,迅速组织医生急诊采用微创技术为患者进行治疗。术中,张胜伟医生精细操作,手术切口长度仅4cm,术中出血不到10ml,手术时长不到1小时。护理团体严密观察术后患者的生命体征、意识、肌力、肢体感觉等,做好引流管的护理及相关健康知识宣教。术后患者言语清晰,肢体活动正常,动态复查头颅CT显示颅内血肿清除效果良好,术后1周即顺利出院。患者为表示感谢,特为科室医护送上“医术精湛,尽职尽责”的锦旗。

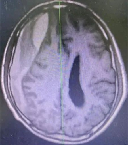
术前

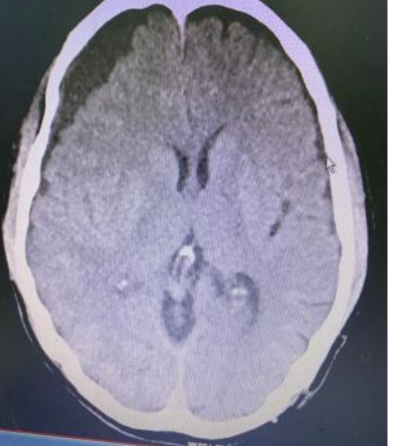
术后

神经外科医生介绍
亚急性、慢性硬膜下血肿是神经外科常见的出血性疾病之一,好发于老年人,有较高的发病率、致死率和致残率。临床上表现为头痛、头晕,严重时出现恶心、呕吐以及复视,初期由于缺乏或忽略定位体征,加之老年人自身大都有心脑血管等慢性疾病,易误诊为高血压、胃病、颈椎病等。个别患者临床上可以“智力和精神状态异常”为主,表现为记忆力、理解力减退,脾气变得暴躁易怒或沉默寡言,精神迟钝,强哭、强笑,甚至精神失常,症状类似老年痴呆、脑血管疾病,导致误诊率很高。
其实慢性硬脑膜下血肿一般通过头部CT或MRI都能明确诊断。因此我们建议60岁以上的老年人在出现头痛、头晕、恶心呕吐、智力和精神状态异常、一侧肢体活动不灵活或麻木等情况时,请及时到医院神经外科就诊,排除有无慢性硬膜下血肿,并由专科医生决定是否需要手术治疗。目前我院外一科对于颅内血肿患者均采用微创手术治疗,其较传统去骨瓣开颅血肿清除术,具有明显优势:微创手术简便易行,手术时间短,创伤微小,出血量少,并发症发生率明显下降,术后恢复快,可明显缩短住院周期及治疗费用。
科室简介
UG环球国际附属第二医院外一科以UG环球国际外科教研室为依托,是咸宁市重点专科。团队现有医护20余人,拥有博士、硕士及主任医师、副主任医师多名。学科带头人赵正据教授,主任医师,现任咸宁市医学会外科学分会副主任委员。我院神经外科团队紧跟时代步伐与学科前沿,高度关注行业发展,始终以患者为中心,力图以最小伤害帮助患者达到最优治疗效果。目前常规开展各类脑出血微创手术、脑外伤血肿清除、颅内减压术等,争取为每一位患者提供优质的医疗服务,为广大市民的健康保驾护航。