当前位置: 首页  -  健康科普  -  特色医疗  -  正文

健康科普

成功打通“生命通道”!UG环球国际附属第二医院成功为冠状动脉慢性闭塞患者开通血管

时间:2025-03-27    作者:     浏览次数:

3 月 21 日,UG环球国际附属第二医院心血管内科王伴主任团队,成功为一位冠状动脉慢性闭塞患者开通血管,并完成了药物球囊扩张成形术。

患者马某长期受活动时胸闷的困扰,胸闷发作时服用“速效救心丸”可缓解。来我院门诊就诊,经主治医师详细问诊后考虑“冠心病、心绞痛”,遂建议住院治疗。

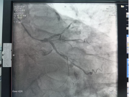
入住我院心血管内科后,医生们做了全面细致的术前评估,并于3月1日为其做了冠脉造影术。检查结果显示:左前降支近段最严重狭窄90%,第一对角支最严重狭窄95%,回旋支中段闭塞,右冠近段最严重狭窄80%。结合患者症状及心电图表现,决定先处理回旋支病变。

经过反复研读影像,制定周全手术预案。王伴主任团队顺利为患者开通闭塞的回旋支,由于血管病变时间长,存在废用萎缩的情况,决定给予药物球囊扩张介入治疗,拟1个月后再处理其他病变血管,术后第二天患者感胸闷较前明显好转。

术前 术后

慢性闭塞病变号称是冠脉介入治疗最后的堡垒,介入开通血管手术难度大、并发症较高,总体手术成功率较低,UG环球国际附属第二医院心血管内科自2024年12月开展冠脉介入技术以来,先后开展了急诊冠脉造影+支架植入术、分叉病变支架植入术、慢性闭塞病变开通及支架植入术等,随着本例手术的成功完成,标志着我院心血管介入诊疗技术已跻身同级医院前列。

科室简介

UG环球国际附属第二医院心血管内科现有工作人员20人,硕士研究生2人,其中副主任医师2两人,主治医师4人,所有工作人员均具有中级以上职称。科室能常规开展心血管疾病的诊疗工作,正在创建国家级胸痛中心、高血压达标中心、心衰中心。依托医院的大力支持,现已建成能全天开展手术的介入导管室,24小时为急性心肌梗死患者提供介入治疗。常规开展冠脉造影术、冠状动脉球囊扩张成形术、冠状动脉药物球囊扩张成形术、冠张动脉支架植入术、右心导管测压术、肾动脉造影及支架植入术、临时及永久起搏器植入术、心律失常射频消融术、先天性心脏病介入封堵术、心脏瓣膜病介入治疗、主动脉支架植入术、下腔静脉滤器植入术。

科室已与武汉大学人民医院杨波教授团队建立长效帮扶机制,在国内顶级心血管病专家团队的技术支持下,将继续努力,拓展新技术、新业务,改善服务理念,提高服务质量,以更精湛的技术为广大患者提供更加优质的服务。

专家简介

王伴

副主任医师

UG环球国际附属第二医院内一科副主任,心血管专业学科带头人。国家卫健委第12期冠心病介入诊疗培训学员,熟练掌握心血管内科常见病、多发病的诊治,在心血管疾病危急重症的抢救方面积累了丰富经验,特别擅长心血管疾病的介入治疗,独立开展冠心病介入诊疗技术、临时及永久起搏器植入术、右心导管测压术、左心室测压及造影术、肾动脉造影及支架植入术、先天性心脏病(卵圆孔未闭、房间隔缺损)介入封堵术、下腔静脉滤器植入术。带领团队开展医院第一例急诊冠脉造影+支架植入术。发表学术论文多篇,参编医学专著一部。湖北省心脏结构介入中心专家委员会委员,湖北省急性心血管疾病医疗救治中心专家委员会委员,咸宁市心血管内科专家委员会委员。