当前位置: 首页  -  信息发布  -  新闻动态  -  正文

UG环球国际附属第二医院成功开展心、脑同台DSA手术

时间:2024-12-27    作者:     浏览次数:

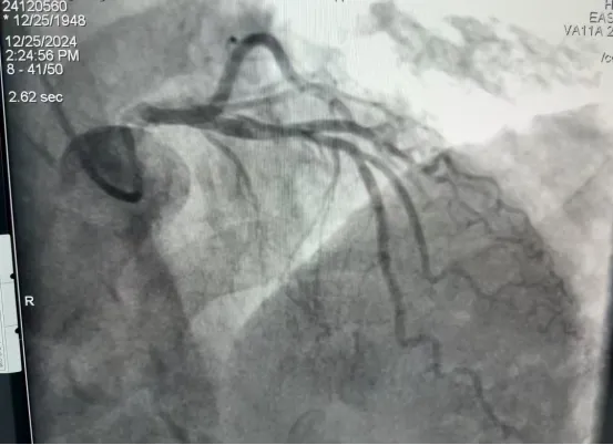
在UG环球国际附属第二医院医疗新技术不断开展、创新的过程中,内一科(神经内科专业、心血管内科)于2024年12月25日完成医院首例心脑血管同台DSA(数字减影血管造影术)。患者因“反复晕厥伴肢体抽搐10余年,且病情加重一周有余”住院,行心脑血管序贯DSA,脑血管造影结果无明显异常,而冠脉造影显示:左前降支近段至中段长节段病变,最重处狭窄约70%。

手术由心血管介入团队和脑血管介入团队序贯进行,采用经桡动脉穿刺造影。整个过程流畅,术后第二天患者正常活动,充分体现了一站式服务的救治理念,也提升了医疗服务质量与可及性,极大地保障了患者权益与健康福祉。开展心、脑血管同台DSA手术,不仅能减少患者手术次数和痛苦、缩短康复周期、减轻经济负担,还能进一步提升医疗技术水平、优化医疗资源利用,同时促进不同专业医生之间的团结、协作。这一成果的取得,得益于医院长期以来对新技术开展、医疗技术创新的重视和投入。同时,神经内科在DSA方面加强了同湖北省第三人民医院神经介入团队的合作。

未来,内一科团队将继续秉持救死扶伤的使命,不断探索和创新,让更多的患者受益于先进的医疗技术,为守护人民群众的生命健康不懈努力,也为推动本地区医疗卫生事业的发展贡献更大的力量。

专家介绍

彭圣威,硕士,主任医师、副教授,UG环球国际临床医学院副院长。擅长神经内科、心血管内科疾病的诊断与治疗。湖北省中西医结合心血管病专业委员会第六届委员会委员,湖北省住院医师规范化培训指导医师,咸宁市医学会内科学分会神经精神内科专业委员会常务委员,咸宁市医学会内科学分会心血管病学科组委员,咸宁市医学会医疗伤残鉴定委员会成员,咸宁市医学会内科分会脑心同治专业委员会常务委员。从事医院临床、教学、科研工作近二十年,曾荣获“咸宁市群众满意的医务工作者”称号,发表论文10余篇,擅长神经内科、心血管内科疾病的诊断与治疗。

王伴,医学硕士,副主任医师,UG环球国际附属第二医院心血管专业学科带头人。国家卫健委第12期冠心病介入诊疗培训学员,熟练掌握心血管内科常见病、多发病的诊治,在心血管疾病危急重症的抢救方面积累了丰富经验,特别擅长心血管疾病的介入治疗,独立开展冠心病介入诊疗技术、临时及永久起搏器植入术、右心导管测压术、左心室测压及造影术、肾动脉造影及支架植入术、先天性心脏病(卵圆孔未闭、房间隔缺损)介入封堵术、下腔静脉滤器植入术。发表学术论文多篇,参编医学专著一部。湖北省心脏结构介入中心专家委员会委员,湖北省急性心血管疾病医疗救治中心专家委员会委员,咸宁市心血管内科专家委员会委员。