近日,UG环球国际附属第二医院放射介入科成功完成首例经皮肺结节穿刺活检术,这一成果标志着医院在肺部疾病诊断领域迈向新高度,为众多肺结节患者带来精准诊断的新曙光。
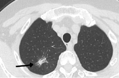
患者张女士(化名)在门诊CT检查时,发现右肺上叶占位性病变。经详细讨论并与患者及家属充分沟通后,决定实施肺结节活检穿刺术。

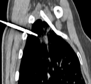
术前,鉴于患者病灶实性成分少,被磨玻璃成分环绕,介入放射科团队在周巍主任的带领下,通过CT精准引导,成功将一根细针经皮肤穿刺至肺结节实性部位,取出活检组织进行病理检查。整个手术过程顺利,患者术中无明显不适,术后也未出现严重并发症。术后病理结果提示为腺癌,为后续抗肿瘤治疗方案的制定提供了关键依据。


科普小知识
肺结节,这个词如今越来越频繁地出现在人们的体检报告中,很多人一看到它就忧心忡忡。肺结节其实是指在肺部影像学检查中发现的直径小于或等于3厘米的类圆形或不规则形病灶。肺结节可能是良性的,如炎性结节、错构瘤等;也可能是恶性的,也就是肺癌。
据统计,在所有肺结节中,恶性结节的比例约为10%-30%。随着国民生活质量不断提高,全民大健康日益深入人心及低剂量CT筛查体检的普及发展肺结节的检出率越来越高。早期发现、准确诊断肺结节的性质,对于后续治疗方案的选择和患者的预后至关重要。
传统的肺部疾病诊断方法存在一定局限性。胸部X线检查分辨率较低,容易遗漏较小的结节;CT检查虽然能发现结节,但难以明确结节的良恶性;支气管镜检查对于靠近中央气道的病变诊断价值较高,但对于外周型肺结节,尤其是直径小于2厘米的结节,诊断阳性率较低。经皮肺结节穿刺活检术则很好地弥补了这些不足。
病理是诊断肺结节的“金标准”,当发现肺结节因不能确诊而感到焦虑时,在符合适应症同时排除穿刺相关禁忌症后,可借助CT引导经皮肺穿刺活检来揭开其神秘面纱。


这项技术具有诸多优势:
1.定位精准,借助CT图像,医生可以清晰看到结节的位置、大小和周围组织结构,准确将穿刺针送达结节;
2.创伤小,穿刺针很细,对肺部组织的损伤较小,患者恢复快;
3.诊断准确率高,能够为临床提供明确的病理诊断,为后续治疗提供可靠依据。
经皮肺结节穿刺活检术的成功开展,是UG环球国际附属第二医院放射介入科的重要里程碑。它不仅提升了医院在肺部疾病诊断方面的能力,也为广大患者带来了更优质、高效的医疗服务。未来,放射介入科团队将继续秉承创新精神,不断探索和应用新技术,为更多患者的健康保驾护航。
如果您或身边的人被肺结节困扰,不要惊慌,请及时咨询专业医生。
放射介入科主要开展的业务:
肿瘤介入诊疗:肝癌、肺癌等恶性肿瘤的栓塞化疗术及射频、微波消融术;
急诊出血介入诊疗:咳血、呕血、妇产科大出血、实质性脏器外伤出血等介入栓塞术;
妇科介入诊疗:子宫肌瘤、子宫腺肌病、瘢痕妊娠、胎盘植入、子宫内膜癌等介入栓塞术;
血管介入诊疗:下肢静脉曲张、下腔静脉滤器植入,全身各部位的动静脉狭窄、闭塞的球囊扩张成形及支架植入术,脾功能亢进、内脏动脉瘤等介入治疗;
非血管介入诊疗:经皮穿刺活检术,大隐静脉曲张激光闭合微创治疗、硬化注射治疗以及肝囊肿、肾囊肿、甲状腺囊肿、鞘膜积液、血管瘤、腱鞘囊肿、痔的硬化注射等。