当前位置: 首页  -  信息发布  -  新闻动态  -  正文

成功将“不定时炸弹”变为“哑弹”

时间:2025-04-18    作者:     浏览次数:

近日,UG环球国际附属第二医院放射介入科成功开展首例肝血管瘤肝动脉栓塞术介入治疗,这一突破为肝血管瘤患者提供了更优质、更安全的治疗选择。

术前详情

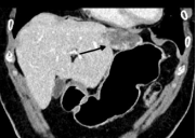
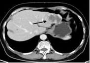
患者李先生(化名),因上腹部不适来我院就诊。经过彩超、腹部增强CT等详细检查,发现肝左叶有两枚血管瘤。较大一枚位于肝脏边缘包膜下且体积较大,瘤体直径将近6cm ,一旦发生破裂,后果不堪设想。

针对患者的病情,介入放射科团队与内二科医务人员进行了全面的评估和讨论。考虑到患者肝血管瘤最大直径大于5cm并位于包膜下,符合手术指征,本着手术微创化原则,跟患者及家属进行充分沟通后,最终决定为患者实施肝血管瘤肝动脉栓塞术介入治疗。

手术详情及术后情况

经过积极准备,手术在数字减影血管造影(DSA)的引导下进行。在湖北省肿瘤医院放射介入科主任闫卫鹏教授的指导下,我院放射介入科周巍主任主刀。术中发现,供应肝脏血管瘤的肝动脉极其迂曲,但介入团队配合默契,成功将微导管精准引入肝血管瘤的供血动脉。随后,使用栓塞剂对血管瘤进行栓塞,阻断血管瘤的血液供应,使其逐渐萎缩、坏死 。手术过程十分顺利,患者体表仅留下针眼大小微小创口。

术后,患者恢复情况良好,生命体征平稳。经过一段时间的观察和护理,患者的症状明显缓解,各项指标趋于正常,已顺利出院。出院时,患者及家属对我院放射介入科团队及内二科全体医护人员的精湛医术和精心护理表示衷心感谢。

科 普

肝血管瘤是肝脏最常见的良性肿瘤,是一种肝内大量的动静脉血管畸形构成的团块状结构,其中以肝海绵状血管瘤最为常见,约占肝良性肿瘤的74%,好发于30-50岁,女性较为多见。

大多数肝血管瘤患者无任何症状。较大的血管瘤可能会引起腹部不适或疼痛症状。在特殊的情况下,特别是当血管瘤体积较大或位置特殊时,肝血管瘤可能会发生破裂出血,危及患者的生命安全。

肝血管瘤肝动脉栓塞术(TAE)

TAE是通过将栓塞剂注入到为血管瘤供血的动脉血管内,使血管瘤的供血动脉被堵塞,从而导致血管瘤内部缺血、缺氧,抑制其生长并使其逐渐缩小甚至消失的一种方法,特别适用于血供丰富的肝血管瘤以及自发性破裂的肝血管瘤。

肝血管瘤肝动脉栓塞术介入治疗具有创伤小、花费少、精准安全、术后恢复快等优点。

此次肝血管瘤肝动脉栓塞术介入治疗的成功,离不开内二科和放射介入科的紧密合作,也是放射介入科的重大突破。它填补了医院在这方面的空白,给更多患者带来希望。未来,医院会继续加强学科建设,提升医疗技术,为大家提供更好的医疗服务。

放射介入科诊疗范围:

肿瘤介入诊疗:肝癌、肺癌等恶性肿瘤的栓塞化疗术及射频、微波消融术;

急诊出血介入诊疗:咳血、呕血、妇产科大出血、实质性脏器外伤出血等介入栓塞术;

妇科介入诊疗:子宫肌瘤、子宫腺肌病、瘢痕妊娠、胎盘植入、子宫内膜癌等介入栓塞术;

血管介入诊疗:下肢静脉曲张、下腔静脉滤器植入,全身各部位的动静脉狭窄、闭塞的球囊扩张成形及支架植入术,脾功能亢进、内脏动脉瘤等介入治疗;

非血管介入诊疗:经皮穿刺活检术,大隐静脉曲张激光闭合微创治疗、硬化注射治疗以及肝囊肿、肾囊肿、甲状腺囊肿、鞘膜积液、血管瘤、腱鞘囊肿、痔的硬化注射等。