67岁的李伯伯(化名)日常帮子女照顾孙子,日子平静祥和。
6月18日上午 9 时许,他送完孙子去幼儿园后,突感胸部不适、心前区憋闷感,背部也伴随闷痛。起初以为是胃病,未予重视,不料胸闷症状持续加重。意识到情况危急,他于 13:45 紧急前往UG环球国际附属第二医院急诊科就诊。
急诊科程鹏医生迅速完成问诊与体格检查,13:52 心电图检查明确诊断为急性广泛前壁心肌梗死。医院立即启动胸痛中心绿色通道,同步开展心电监护、建立静脉通道、口服心梗急救药物等,并向家属沟通病情与急诊手术必要性。心血管内科主任王伴得知后火速抵达,协调介入导管室做好准备。


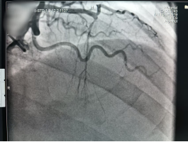
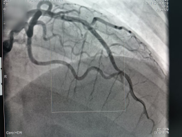
冠脉造影            支架植入术后
14:05,患者直接从急诊科转入导管室;14:10,穿刺成功并置入血管鞘;14:13,冠脉造影显示左冠脉前降支中段急性闭塞;14:20,导丝通过闭塞病变,血管恢复血流,患者胸闷症状显著缓解。后续,医疗团队顺利完成球囊扩张及支架植入,14:40 手术结束,患者安全转入心内科监护病房。从入院到血管开通,全程仅 35 分钟,远低于胸痛中心平均救治时间。
本例患者的成功救治是我院心血管内科救治能力提升的实际体现。自2024 年 12 月介入导管室投入使用以来,科室已完成人才梯队建设,开展各类心脏介入手术超百例,得到患者一致认可。
健康科普:什么是急性心肌梗死
急性心肌梗死是严重危及人类生命的危急重症之一,主要症状表现为突然发作的,持续时间超过30分钟的心前区压榨性疼痛或憋闷感,患者常有濒死的感觉。依据典型的症状及心电图改变一般可明确诊断,如果得不到及时的救治死亡率非常高。目前急性心肌梗死的治疗方法分为溶栓治疗、介入治疗及外科搭桥三种,其中介入治疗是最快、最直接的手段。时间就是心肌,时间就是生命。广大群众如有突发的胸闷、胸痛等症状应立即前往就近的正规医院就诊。
科室简介
UG环球国际附属第二医院内五科(心血管内科)是集医疗、教学、科研为一体的科室。设门诊及住院部,门诊包含心血管内科门诊及胸痛门诊。住院部位于8号楼7楼东侧,科室开放床位30张,设有重症监护病房、胸痛病房、普通病房。心血管内科现有工作人员20人,硕士研究生2人,其中主任医师1人,副主任医师2人,主治医师4人,所有工作人员均具有中级以上职称。科室能常规开展心血管疾病的诊疗工作,正在创建国家级胸痛中心、高血压达标中心、心衰中心。现已建成能全天开展手术的介入导管室,24小时为急性心肌梗死患者提供介入治疗。常规开展冠脉造影术、冠状动脉球囊扩张成形术、冠状动脉药物球囊扩张成形术、冠张动脉支架植入术、右心导管测压术、肾动脉造影及支架植入术、临时及永久起搏器植入术、慢性心力衰竭器械治疗、心律失常射频消融术、先天性心脏病介入封堵术、心脏瓣膜病介入治疗、主动脉支架植入术、下腔静脉滤器植入术。